Proveniente de Caaguazú, un niño de 3 años de edad, con síntomas de chikunguya y dificultades respiratorias, fue trasladado hasta el Instituto Nacional de Enfermedades Respiratorias y del Ambiente por sus padres para conocer qué realmente lo aquejaba.
- 16/03/2023
- Por Edicion Prensa
El doctor Carlos Morínigo, neumólogo del centro asistencial, en entrevista con Radio 1000, relató que el menor ingresó el 7 de marzo al Hospital de Caaguazú con 3 días de evolución de cuadro de tos, chillido y dificultad respiratoria progresiva, cuadro típico tipo asma. Agregó que se tomaron todas las medidas para broncoespasmo, pero apuntó que a pesar de ello, el niño empeoró, fue intubado y remitido a Asunción.

El profesional de la salud reportó que en el traslado tuvo un paro cardíaco, fue reanimado y compensado. “Niño crítico. En terapia del INERAM, intubado con evolución mala y en los análisis positivo para chikungunya”, detalló.
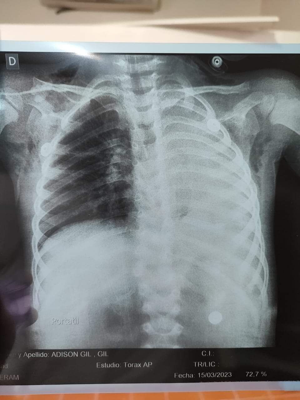
Morínigo indicó que la radiografía a la que fue sometida el niño mostró que el pulmón izquierdo estaba totalmente cerrado. “Los médicos intervinientes se llevaron una gran sorpresa al encontrar que un grano de maíz obstruía su vía respiratoria. Se montó todo el equipo en terapia y llevaron a cabo la broncoscopia”, acotó.
Dijo que tras el procedimiento profesional, se logró extraer el grano de maíz con dificultad. “Ahora confiado en Dios, el niño se recuperará. Él tenía que vivir y así lo hizo”, destacó Morínigo.
FUENTE: 1000 AM