Ineram

Con una inversión millonaria y apoyo de ITAIPU, el Ministerio de Salud incorpora equipamientos de vanguardia que permitirán diagnósticos más precisos y tratamientos menos invasivos para pacientes.

Leer Más

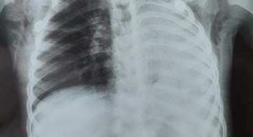
Un paciente ingresó al Instituto Nacional de Enfermedades Respiratorias y del Ambiente “Prof. Dr. Juan Max Boettner” (Ineram) para realizarse unos estudios tras accidente de motocicleta y en las radiografías fue hallado un anillo de oro en su pulmón.

Leer Más

El centro asistencial accionó ante el Ministerio Público tras detectar supuestas irregularidades en un documento presentado ante un juzgado. El involucrado rechaza las acusaciones y afirma que demostrará su versión en el proceso.

Leer Más

El Instituto Nacional de Enfermedades Respiratorias y del Ambiente (INERAM) incorporó recientemente nuevos equipos e instrumentales quirúrgicos de última generación para el departamento de Cirugía Torácica, los cuales ya se encuentran operativos.

Leer Más

Una niña de nueve años y un niño de tres fueron sometidos a una intervención para extraer monedas que habían ingerido accidentalmente. Con estos casos, ya son cuatro en lo que va del 2026.

Leer Más